Все варианты задания 6 из открытого банка заданий ФИПИ к ОГЭ по биологии с ответами, ФИПИ: приборы.
Разделы КЭС 2023: Биология как наука. Методы биологии. Тип ответа: Выбор ответа из предложенных вариантов. 2024 - КЭС 1.3 Научные методы изучения живой природы. Метод описания в биологии (наглядный, словесный, схематический). Метод измерения (инструменты измерения). Метод классификации организмов. Наблюдение и эксперимент как ведущие методы биологии. Методы изучения организма человека. Устройство увеличительных приборов: лупы и микроскопа
Любой из этих вариантов может вам попасться на реальном ОГЭ в этом году.
Все варианты задания 6 с ФИПИ к ОГЭ по биологии
Выберите правильный ответ.
Как называется лабораторный инструмент, изображённый на рисунке?

1) препаровальная игла
2) пинцет
3) скальпель
4) микротом
Ответ:
3
Номер: F5CD44
Выберите правильный ответ.
С какой целью используют инструмент, изображённый на рисунке?

1) получение тонкого среза биоматериала
2) расправление биоматериала
3) измерение биоматериала
4) уплощение биоматериала
Ответ:
2
Номер: 36DF48
Выберите правильный ответ.
Что можно изучить с помощью прибора, изображённого на рисунке?

1) поведение птицы
2) движение простейших
3) строение ДНК
4) изменение состава крови
Ответ:
1
Номер: 8F624F
Выберите правильный ответ.
Как называется инструмент, изображённый на рисунке?

1) секатор
2) скальпель
3) микротом
4) пинцет
Ответ:
1
Номер: 87D242
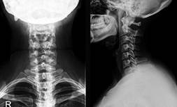
Выберите правильный ответ. 2026
Как называется прибор, изображённый на фотографии, с помощью которого получили данное изображение?

прибор - полученное изображение
1) рентген-аппарат
2) спирометр
3) электрокардиограф
4) фонендоскоп
Ответ:
1
Номер: 856948
Выберите правильный ответ.
Как называется прибор, изображённый на рисунке?

1) микротом
2) световой микроскоп
3) штативная лупа
4) тонометр
Ответ:
2
Номер: 0E91FE
Выберите правильный ответ.
Что показывают числовые значения на экране прибора, изображённого на рисунке?

1) насыщение крови кислородом и пульс
2) систолическое и диастолическое давление
3) уровень глюкозы и количество эритроцитов в крови
4) плотность ногтевой пластины и скорость кровотока под ней
Ответ:
1
Номер: 26F4F0
Выберите правильный ответ.
Как называется прибор, изображённый на рисунке?

1) тонометр
2) глюкометр
3) термометр
4) пульсоксиметр
Ответ:
4
Номер: ECE1F6
Выберите правильный ответ.
С какой целью используют инструмент, изображённый на рисунке?

1) проведение обрезки растений
2) изучение микроорганизмов
3) отлов насекомых
4) получение тонких срезов биоматериала
Ответ:
1
Номер: 62E1F0
Выберите правильный ответ.
Что можно изучить с помощью прибора, изображённого на рисунке?

1) внешнее строение цветкового растения
2) процессы жизнедеятельности бактерий
3) структуру ДНК
4) строение нервной ткани животного
Ответ:
4
Номер: B4E300
Выберите правильный ответ.
Как называется лабораторная посуда, изображённая на рисунке?

1) колба
2) чашка Петри
3) пробирка
4) мензурка
Ответ:
3
Номер: BC180A
Выберите правильный ответ.
Как называется прибор, изображённый на рисунке?

1) глюкометр
2) тонометр
3) пульсоксиметр
4) фонендоскоп
Ответ:
1
Номер: A15002
Выберите правильный ответ.
Как называется медицинский прибор, изображённый на рисунке?

1) термометр
2) глюкометр
3) тонометр
4) динамометр
Ответ:
3
Номер: 9C2204
Выберите правильный ответ.
Какой физиологический показатель измеряют с помощью прибора, изображённого на рисунке?

1) скорость свертывания крови
2) количество глюкозы в крови
3) давление крови
4) наличие антител
Ответ:
2
Номер: EBB103
Выберите правильный ответ.
Какой физиологический показатель измеряют с помощью прибора, изображённого на рисунке?

1) насыщение крови кислородом
2) артериальное давление
3) уровень глюкозы в крови
4) плотность ногтевой пластины
Ответ:
1
Номер: 3B1508
Выберите правильный ответ.
Какой физиологический показатель измеряют с помощью прибора, изображённого на рисунке?

1) мышечная масса
2) температура тела
3) острота зрения
4) артериальное давление
Ответ:
2
Номер: 356F08
Выберите правильный ответ.
В ходе какой лабораторной работы школьники будут использовать изображённый на рисунке прибор?

1) «Внешнее строение органов цветкового растения»
2) «Изучение влияния освещения на скорость фотосинтеза»
3) «Выявление условий прорастания семян»
4) «Сравнение клеток крови лягушки и человека»
Ответ:
4
Номер: 017B74
Выберите правильный ответ.
Какой физиологический показатель врач измеряет с помощью прибора, изображённого на рисунке?

1) скорость тока крови
2) артериальное давление
3) пульс
4) размер бицепса
Ответ:
2
Номер: 25E371
Выберите правильный ответ.
С какой целью используют лабораторную посуду, изображённую на рисунке?

1) получение тонкого среза биоматериала
2) проведение химических реакций
3) покрывание микропрепарата
4) культивирование микроорганизмов
Ответ:
3
Номер: D3637C
Выберите правильный ответ.
Как называется лабораторная посуда, изображённая на рисунке?

1) чашка Петри
2) предметное стекло
3) покровное стекло
4) пробирка
Ответ:
2
Номер: 55B176
Выберите правильный ответ.
Как называется прибор, изображённый на рисунке?

1) тонометр
2) глюкометр
3) термометр
4) пульсоксиметр
Ответ:
3
Номер: C26D73
Выберите правильный ответ.
С какой целью используют инструмент, изображённый на рисунке?

1) получение тонкого среза биоматериала
2) перемещение биоматериала
3) прокалывание биоматериала
4) взвешивание биоматериала
Ответ:
2
Номер: 3E1E71
Выберите правильный ответ. 2026
Какой физиологический показатель измеряют с помощью прибора, изображённого на фотографии?

1) насыщение крови кислородом
2) артериальное давление
3) уровень глюкозы в крови
4) плотность ногтевой пластины
Ответ:
1
Номер: 34B77C
Выберите правильный ответ. 2026
Какое действие можно осуществить с помощью лабораторного инструмента, изображённого на рисунке?

1) расправить листочек элодеи на предметном стекле
2) переместить кусочек животной ткани из колбы в пробирку
3) набрать из пузырька 2 мл реактива и перенести в пробирку с объектом
4) соскрести с раковины перловицы внутренний слой
Ответ:
4
Номер: F9141F
Выберите правильный ответ.
Что показывает числовое значение на экране прибора, изображённого на рисунке?

1) количество эритроцитов в крови
2) температуру тела
3) количество нитратов в мякоти плода
4) влажность воздуха
Ответ:
2
Номер: F78E10
Выберите правильный ответ.
Как называется инструмент, изображённый на рисунке?

1) пинцет
2) препаровальная игла
3) скальпель
4) пробиркодержатель
Ответ:
1
Номер: 71371A
Выберите правильный ответ.
С какой целью используют лабораторный инструмент, изображённый на рисунке?

1) перемешивание жидкостей
2) расправление микропрепарата
3) дозирование сыпучих реактивов
4) дозирование жидкостей
Ответ:
4
Номер: 9D6319
Выберите правильный ответ. 2026
Какое действие можно осуществить с помощью лабораторного инструмента, изображённого на фотографии?

1) расправить листочек элодеи на предметном стекле
2) отделить кожицу от чешуи лука и поместить на предметное стекло
3) набрать из пузырька реактив и перенести в пробирку с объектом
4) соскрести с раковины перловицы внутренний слой
Ответ:
3
Номер: 908519
Выберите правильный ответ.
С какой целью используют лабораторную посуду, изображённую на рисунке?

1) получение тонкого среза биоматериала
2) размещение микропрепарата
3) проведение химических реакций
4) культивирование микроорганизмов
Ответ:
2
Номер: E55A14
Выберите правильный ответ.
С какой целью используют лабораторный инструмент, изображённый на рисунке?

1) выполнение разрезов
2) перемешивание жидкостей
3) расправление микропрепарата
4) дозирование сыпучих реактивов
Ответ:
1
Номер: F6352E
Выберите правильный ответ.
В ходе какой лабораторной работы школьники будут использовать изображённый на рисунке лабораторный набор?





1) «Внешнее строение лягушки»
2) «Изучение влияния температуры на интенсивность фотосинтеза»
3) «Выявление условий развития проростков фасоли»
4) «Изучение строения растительной клетки»
Ответ:
4
Номер: BDF628
Выберите правильный ответ. 2026
Как называется лабораторная посуда, изображённая на рисунке?

1) мерные стаканы
2) пробирки
3) колбы
4) ступки
Ответ:
2
Номер: AD662B
Выберите правильный ответ. 2026
Какой физиологический показатель измеряют с помощью прибора, изображённого на фотографии?

1) мышечная масса
2) температура тела
3) острота зрения
4) артериальное давление
Ответ:
2
Номер: E4E922
Выберите правильный ответ. 2026
Как называется лабораторная посуда, изображённая на фотографии?

1) мерный стакан
2) пробирка
3) спиртовка
4) ступка
Ответ:
1
Номер: EBD226
Выберите правильный ответ.
Как называется прибор, изображённый на рисунке?

1) микротом
2) световой микроскоп
3) штативная лупа
4) тонометр
Ответ:
2
Номер: 688F29
Выберите правильный ответ.
С какой целью используют лабораторную посуду, изображённую на рисунке?

1) получение тонкого среза биоматериала
2) приготовление растворов
3) забор капиллярной крови для анализа
4) культивирование микроорганизмов
Ответ:
2
Номер: 4B84D8
Выберите правильный ответ.
Как узнать общее увеличение оптического прибора, изображённого на рисунке?

1) посмотреть цифры на штативе
2) сложить увеличение окуляра и увеличение объектива, направленного на объект
3) умножить увеличение окуляра на увеличение объектива, направленного на объект
4) перемножить увеличение всех объективов и окуляра
Ответ:
3
Номер: 0AF7D2
Выберите правильный ответ.
С какой целью используется прибор, изображённый на рисунке?

1) прослушивание звуков от лёгких
2) изучение состояния слуховых проходов
3) определение остроты зрения
4) диагностика гастрита
Ответ:
1
Номер: 4AC45C
Выберите правильный ответ.
Как называется инструмент, изображённый на рисунке?

1) пинцет
2) препаровальная игла
3) скальпель
4) пробиркодержатель
Ответ:
2
Номер: 704455
Выберите правильный ответ.
Что можно измерить с помощью лабораторной посуды, изображённой на рисунке?

1) объём жидкости
2) массу сухого вещества
3) количество живых клеток в культуре
4) скорость деления инфузорий
Ответ:
1
Номер: DCFE5B
Выберите правильный ответ. 2026
Что исследуют с помощью прибора, изображённого на фотографии?

1) артериальное давление
2) целостность костей
3) состав желудочного сока
4) состояние внутренних органов
Ответ:
4
Номер: EC0E5E
Как называется лабораторная посуда, изображённая на рисунке?

1) чашка Петри
2) предметное стекло
3) покровное стекло
4) пробирка
Ответ:
3
Номер: 6A1855
Как называется лабораторное оборудование, изображённое на рисунке?

1) мензурка
2) спиртовка
3) чашка Петри
4) мерный стакан
Ответ:
2
Номер: 78E9A9
С какой целью используется прибор, изображённый на рисунке?

1) дозирование жидкостей
2) проведение экспериментов с животными
3) рассматривание мелких объектов
4) измерение организмов
Ответ:
3
Номер: A41BAD
Выберите правильный ответ.
В ходе какой лабораторной работы школьники будут использовать изображённую на рисунке лабораторную посуду?

1) «Внешнее строение органов цветкового растения»
2) «Изучение влияния температуры на интенсивность испарения»
3) «Выявление условий развития пеницилла»
4) «Сравнение клеток крови лягушки и человека»
Ответ:
3
Номер: E8DCA0
С какой целью используют лабораторную посуду, изображённую на рисунке?

1) получение тонкого среза биоматериала
2) увеличение рассматриваемых объектов
3) смешивание жидкостей
4) культивирование микроорганизмов
Ответ:
4
Номер: 3AAEA4
Выберите правильный ответ.
Как называется прибор, изображённый на рисунке?

1) барометр
2) глюкометр
3) термометр
4) динамометр
Ответ:
3
Номер: 48F1CF
С какой целью используется прибор, изображённый на рисунке?

1) наблюдение за поведением птицы
2) изучение движения у простейших
3) изучение морфологии насекомых
4) выделение молекул ДНК
Ответ:
3
Номер: FFFFC1
Выберите правильный ответ. 2026
В каких целях используют прибор, изображённый на фотографии?

1) определение жизненной ёмкости лёгких
2) измерение артериального давления
3) выделение и анализ ДНК
4) анализ сердечной электрической активности
Ответ:
4
Номер: 0075CA
С какой целью используют лабораторную посуду, изображённую на рисунке?

1) получение тонкого среза биоматериала
2) дозирование жидкостей
3) проведение химических реакций
4) культивирование микроорганизмов
Ответ:
3
Номер: 11D3C3
С какой целью используют лабораторное оборудование, изображённое на рисунке?

1) получение тонкого среза биоматериала
2) замораживание биоматериала
3) нагревание веществ и биоматериала
4) культивирование микроорганизмов
Ответ:
3
Номер: 2D2B96
Что исследуют с помощью прибора, изображённого на рисунке?

1) артериальное давление
2) целостность костей
3) состав желудочного сока
4) состояние внутренних органов
Ответ:
4
Номер: AF6C97
Выберите правильный ответ.
Как называется прибор, изображённый на рисунке?

1) ручная лупа
2) микроскоп
3) штативная лупа
4) микротом
Ответ:
3
Номер: C42E93
Выберите правильный ответ.
Как называется лабораторная посуда, изображённая на рисунке?

1) колба
2) чашка Петри
3) пробирка
4) мензурка
Ответ:
4
Номер: EF1A93
Выберите правильный ответ.
К какому врачу-специалисту вы обратитесь в первую очередь, если заметите изменения на поверхности кожи?
1) урологу
2) терапевту
3) дерматологу
4) отоларингологу
Ответ:
3
Номер: 713BEA
Выберите правильный ответ.
С какой целью используется прибор, изображённый на рисунке?

1) изучение состояния слуховых проходов
2) прослушивание звуков от лёгких
3) определение остроты зрения
4) определение остроты слуха
Ответ:
2
Номер: C97CE4
Выберите правильный ответ.
С какой целью используют прибор, изображённый на рисунке?

1) формирование рефлекса
2) постановка экспериментов с мелкими организмами
3) выделение и анализ ДНК
4) изучение строения клеток и тканей
Ответ:
4
Номер: E90AE5
Выберите правильный ответ.
С какой целью используют прибор, изображённый на рисунке?

1) измерение скорости свёртываемости крови
2) определение количества глюкозы в крови
3) изучение формы эритроцитов
4) определение наличия антител
Ответ:
2
Номер: 8DDDE3
Выберите правильный ответ.
Как называется прибор, изображённый на рисунке?

1) барометр
2) пульсоксиметр
3) термометр
4) глюкометр
Ответ:
2
Номер: 037B6A
Выберите правильный ответ. 2026
Какое действие можно осуществить с помощью лабораторного инструмента, изображённого на рисунке?

1) расправить листочек элодеи на предметном стекле
2) отделить кожицу от чешуи лука и поместить на предметное стекло
3) набрать из пузырька 2 мл реактива и перенести в пробирку с объектом
4) соскрести с раковины перловицы внутренний слой
Ответ:
1
Номер: 7B2B6F
Выберите правильный ответ.
Что можно изучить с помощью прибора, изображённого на рисунке?

1) поведение птицы
2) движение бактерий
3) строение насекомых
4) строение молекулы ДНК
Ответ:
3
Номер: 789A63
Выберите правильный ответ.
С какой целью используют прибор, изображённый на рисунке?

1) изучение мышечной ткани
2) диагностика лёгочных заболеваний
3) измерение массы тела
4) определение жизненной ёмкости лёгких
Ответ:
2
Номер: DF5267
Выберите правильный ответ.
Как называется прибор, изображённый на рисунке?

1) тонометр
2) спирометр
3) глюкометр
4) динамометр
Ответ:
2
Номер: DA3965
Выберите правильный ответ.
С какой целью используют прибор, изображённый на рисунке?

1) измерение артериального давления
2) определение количества глюкозы в крови
3) изучение мышечной активности
4) остановка кровотечения
Ответ:
1
Номер: 8C4664
Выберите правильный ответ.
Какой прибор позволяет определить жизненную ёмкость лёгких (ЖЕЛ) у человека?
1) динамометр
2) фонендоскоп
3) тонометр
4) спирометр
Ответ:
4
Номер: FCB63F
Выберите правильный ответ.
Как называется прибор, изображённый на рисунке?

1) аппарат УЗИ
2) спирометр
3) флюорограф
4) фонендоскоп
Ответ:
1
Номер: 0CBE37
Выберите правильный ответ.
С какой целью используют прибор, изображённый на рисунке?

1) измерение артериального давления
2) определение жизненной ёмкости лёгких
3) измерение частоты сердечных сокращений
4) измерение мышечной силы руки
Ответ:
2
Номер: 0CD231
Выберите правильный ответ.
Как называется прибор, изображённый на рисунке?

1) аппарат УЗИ
2) флюорограф
3) тонометр
4) спирометр
Ответ:
2
Номер: 249234
Выберите правильный ответ.
Как называется лабораторная посуда, изображённая на рисунке?

1) предметное стекло
2) мерный стакан
3) колба
4) чашка Петри
Ответ:
4
Номер: D9733F
Выберите правильный ответ.
Какой физиологический показатель измеряют с помощью прибора, изображённого на рисунке?

1) артериальное давление
2) жизненная ёмкость лёгких
3) частота сердечных сокращений
4) мышечная сила
Ответ:
2
Номер: 977A30
Выберите правильный ответ.
Как называется прибор, изображённый на рисунке?

1) тонометр
2) фонендоскоп
3) термометр
4) глюкометр
Ответ:
2
Номер: C5468B
Выберите правильный ответ.
Как называется лабораторный инструмент, изображённый на рисунке?

1) пипетка
2) мензурка
3) скальпель
4) препаровальная игла
Ответ:
1
Номер: CE5883